
Drs. Caresa Doakes and Angel Thornton are Certified Invisalign® Providers
Invisalign® is a modern alternative to straighten your teeth without wires or metal. Invisalign® involves a series of custom trays designed specifically for you and the plan your dentist or orthodontist creates to move your teeth. The trays are made from a smooth plastic that covers your teeth and gradually moves them into place.
Unlike braces, there are no brackets to tighten. Instead, you use different trays as your teeth move into position. Typically trays are changed every two weeks. Invisalign® is a popular choice for straightening because it involves minimal disturbance to your daily routine or appearance. The trays are difficult to see and most people will have no idea you are wearing them.
Consider Invisalign® to get the beautiful straight teeth you’ve always wanted — without braces. A complimentary consultation with our doctors can determine if Invisalign® is right for you.
How Much Does Invisalign Cost? The cost of your treatment will depend on several factors including cost of materials, time needed to address the problem, and the severity of the misalignment of the teeth. After insurance benefits are considered, most patients pay between $100-$250 per month.
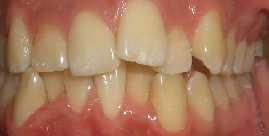
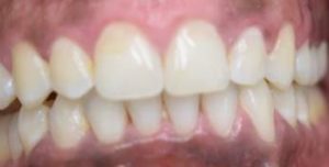
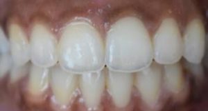
Before





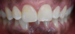
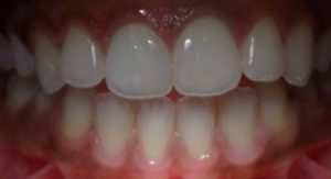
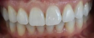
After





