The Smile Salon and Day Spa offers traditional braces for orthodontic treatment for patients of all ages.
Braces for Kids Signs of misaligned teeth usually happen as early as eruption of the first few permanent teeth in a child’s mouth. This is generally around the age of 7. It is our belief to address misaligned teeth early to take advantage of a child’s growth and to prevent the need for extraction of permanent teeth down the line.
At your child’s routine hygiene visit, we will speak with you about how your child’s teeth are coming in and assess the need for intervention with orthodontics. We will also listen to your concerns about the position of your child’s teeth. Our goal is to guide growth and prevent permanent teeth from crowding for a beautiful face and smile.
Braces for Teens If a child has not had orthodontic invention by their teenage years we have them covered. Teens can be treated with Braces or Invisalign to correct misalignments like crowding and spacing. Straightening the teeth will help your teen keep his or her teeth cleaner to prevent dental problems down the line. Also straightening your teen’s teeth may help with confidence, self-esteem and positive self-image.
Braces for Adults Were you a kid whose parents couldn’t afford braces? Did you have braces as a teen and you noticed the position of your teeth has shifted over the years? Have you noticed your gums are reseeding in some areas? These are all indications that you may be a good candidate for orthodontic treatment with braces. Many adults are choosing braces over clear aligner therapies like Invisalign simply because braces are semi-permanent and unlike Invisalign, there are rarely compliance issues. At your routine hygiene appointment we will listen to your concerns about your tooth positioning. Straighter teeth are easier to brush and floss adequately, reducing your risk for gum disease that is linked with cardiovascular disease, diabetes, and alheimers. We even offer clear ceramic brackets that are more descreet than traditional metal braces. We will let you know how aligning your teeth will benefit you and work with you to make braces and affordable treatment option.
If you are interested in braces for yourself or your child, please call our office at 816.931.2191 to make an appointment today.
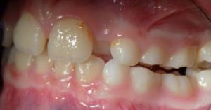
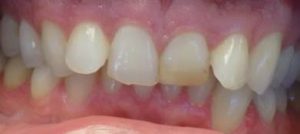
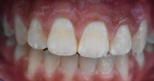
Before




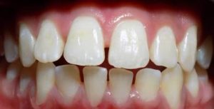
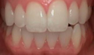
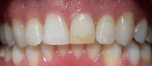
After




